歯は削れば削るほど寿命が短くなります。
可能な限り歯を削る量を少なく、
可能な限り痛みを抑える、
可能な限り再治療を防ぐ方法で。
それが当院のモットー
042-519-1148
東京都昭島市昭和町2-3-16 2F
歯は削れば削るほど寿命が短くなります。
可能な限り歯を削る量を少なく、
可能な限り痛みを抑える、
可能な限り再治療を防ぐ方法で。
それが当院のモットー

最近では機器や材料の進歩により「可能な限り痛みを抑えた」治療が可能になっています。
当院で実施している手法をご紹介いたします。

事前に、注射する部分に麻酔液を塗ります。
これにより注射時の痛みを抑えます。
表面麻酔は時間をかけなければ効きませんので、3~5分ほど薬液が浸透するまで待ちます。

蚊に刺されても痛くないように、針が細ければ細いほど痛みは抑えられます。
当院では太さの細い針を使い、ソフトに注射することで痛みを抑えます。
また、針の先端にもより一層痛みを軽減する特殊加工がされています。

麻酔液と体内との「温度差」も痛みの原因となります。
そこで麻酔液を体温と同じくらいまで温め、体内との温度差をなくすことで、麻酔液が入ってきた時の痛みを軽減します。

急激に麻酔液を注入すると細胞が膨張し痛みの原因となりますので、ゆっくりと時間をかけ麻酔液を注入していくことが大切です。
そこで当院では注入速度を機械制御した「電動麻酔注射」を導入し痛みを抑える工夫をしております。
また、ケースによっては手動の方がよい場合もありますので、「電動麻酔注射」と「手動」を併用しています。

お口の中には痛みを強く感じる部分と、そうでない部分がありますので、痛みを感じにくい部位を狙って麻酔を打っていきます。
その他、解剖学的なテクニックを多用し、患者さんに負担の少ない麻酔を打っていきます。
人間の歯は一度削ってしまえば元に戻ることは二度とありません。
そして、歯は治療すればするほど寿命が短くなります。
当院では、長期にわたってご自身の歯で健康に生活していただくために「可能な限り歯を削る量の少ない」ことをモットーとしており、そのための設備を整え、治療技術を磨いてきました。
本章では、どのようにして、可能な限り「歯を削らないのか」をご紹介します。

歯を削る量を少なくするには、治療部分がしっかりと見えなければなりません。従来までは「肉眼」で見える範囲での治療でしたが、当院では「拡大鏡」や「マイクロスコープ」というものを利用し、肉眼よりも数倍拡大された視野で治療を行っています。
下の画像は肉眼での視野と、拡大鏡の視野の比較となります。
どちらの方が精密な治療ができるかは一目瞭然ですね。

肉眼で見た場合

拡大ルーペで見た場合
歯は「バー」と呼ばれる器具で削ります。
このバーが太ければ歯は大きく削れますし、細ければ細いほど必要な部分の歯しか削らずに済みます。
当院では、現在利用できるバーの中で細いドリルを利用し歯を削りますので、健康な歯までを削ることはありません。
う蝕検知液とは、虫歯の部分のみを赤く染める薬剤です。
虫歯治療を行う上で大切なのは、虫歯に感染した部分を除去することですが、通常は虫歯の硬さを頼りに、軟らかくなった部分を削っていきます。しかし、この方法では、感染部位を正確に除去することはできません。
しかし、このう蝕検知液を使うと、感染した部分が赤く染まりますので、どこまで虫歯を削ればよいかがわかり、歯を削る量を少なくすることができます。
患者さんが虫歯治療を嫌がる理由として「歯を削る時の音」があります。
当院ではこの「音」に対しても配慮をしています。
具体的には「5倍速コントラ」とう機器を使うのですが、タービンという歯科特有の「キ~ン」という音のする器具ではありませんので、ストレスなく治療を受けていただけます。
その他「ブレ」が少なく、歯を削る量も少なくできます。
それだけではありません。
落ち着く音楽やBGMをかけることで、音による不快感を可能な限り軽減しています。
虫歯治療は感染部位を除去する治療になります。
虫歯が進行すると、歯の神経近くまで達します。細心の注意を払いながら治療をするのですが、ケースによっては歯の神経が露出してしまう事があります。この場合、神経を除去する治療に移行するのですが、「IPC」や「MTAセメント」という素材を利用することで、歯の神経を保存することが可能になります。

| メリット | デメリット |
|---|---|
|
|
銀⻭を⽩くする治療としては「セラミック治療」が有名ですが、最近ではダイレクトボンディング法という治療法も広まってきています。
ダイレクトボンディング法はセラミック治療より費⽤が安く、 また短い期間(最短1⽇)で治療できるのがメリットです。 また従来の詰め物や被せ物を利⽤した治療法よりも、⻭を削る量を少なくできます。
さらにダイレクトボンディング法は「⻭の表⾯の傷や⽩濁の改善」や「すきっ⻭の改善」、「⻭の形の改善」などにも応⽤できます。 適応症例が限定されますが、ご興味のある⽅はぜひ当院までお問い合わせ下さい。


ダイレクトボンディング法による治療。時間の経過とともに変色する可能性があります。
ここでは抜歯を回避する「エクストリュージョン法」についてご紹介します。
重度の虫歯でも歯を残せる可能性が高まります。
右の写真をご覧ください。
歯を歯茎近くまで削らなくてはならないほど進行した虫歯の写真です。通常なら抜歯後にインプラントや入れ歯で治療することになります。
エクストリュージョン法を用いれば、このような状態でも治療できます。
残った歯を歯茎の上まで引っ張り上げ、被せ物の土台にすることで抜歯を回避するのです。
インプラントより費用が安く、メンテナンスに手間がかかりにくいというのが、エクストリュージョン法のメリットです。
歯を引っ張り上げる時は、矯正治療と同じ要領でワイヤーを使用して少しずつ引っ張り出します。治療中の痛みはほとんどありません。

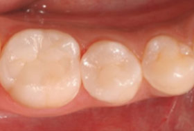
虫歯治療後には「銀色」の詰め物・被せ物を装着されると多くの方が思っていると思います。当院では患者さんの「健康」、そして「口元の美」を考慮し、可能な限り銀歯を使わず、白い詰め物などで対応しています(メタルフリー治療)。
皆さんはあまり認識されていないかもしれませんが、銀歯を付けていると金属イオンが流出し、「体の健康を害する」ことがあります。例えば、「皮膚のかゆみ・かぶれ」「アレルギー性皮膚炎」「じんましん」「頭痛」「肩こり」などなど。
その他、「色が目立つ」こともそうですが、「歯茎に金属イオンが沈着」することで、見た目が悪くなってしまう事もあります。
以上の理由から、欧米などの先進国では金属の詰め物・被せ物は使わなくなってきています。



このようにならないための素材はたくさんあります。



当院では患者さんのお口の状態、お好みなどをお伺いし、適切な素材をご提案させていただいています。
当院では、患者さんが抱えていらっしゃるお口のお悩みや疑問・不安などにお応えする機会を設けております。どんな事でも構いませんので、私達にお話ししていただけたらと思います。
ご興味がある方は下記からお問い合わせください。
042-519-1148
昭島駅から徒歩0分
東京都昭島市昭和町2-3-16 2F
| 診療時間 | 月 | 火 | 水 | 木 | 金 | 土 | 日 | 祝 |
|---|---|---|---|---|---|---|---|---|
| 午前の部 9:30 ~ 13:00 | ● | / | ● | ● | ● | ● | / | / |
| 午後の部 14:30 ~ 18:30 | ● | / | ● | ● | ● | ▲ | / | / |
