マイクロスープ(歯科用顕微鏡)を活用した、
精密審美セラミック治療。
「銀歯」を「白く」しませんか?
042-519-1148
東京都昭島市昭和町2-3-16 2F
マイクロスープ(歯科用顕微鏡)を活用した、
精密審美セラミック治療。
「銀歯」を「白く」しませんか?


マイクロスコープ(歯科用顕微鏡)とはその名の通り、「治療部位を高倍率で拡大する」機器です。
歯の治療は非常に繊細を極めます。肉眼や拡大鏡でも治療は可能ですが、その精度は手術用顕微鏡には到底及びません。私も手術用顕微鏡を導入し、実際に治療を始めた時は、「見える!!見えるぞっ!!」と驚きを隠せなかったことを今でも鮮明に憶えています。
実際、脳外科や眼科のように、繊細な部分の手術には多く使われています。
日本でマイクロスコープを保有している歯科医院の割合は10%台とごく少数しかありませんが、当院では3台保有し、治療時間の約半分をこの精密治療に使っています。
審美セラミック治療は、セラミックの詰め物・被せ物を利用して、歯の色・形・歯並びなどを美しく整える治療です。単に歯を削って詰め物・被せ物をする治療とは次元が異なります。

ここでは、審美セラミック治療でマイクロスコープを活用するメリットをご紹介したいと思います。
各種工程で利用するのですが、主に「支台形成」という工程でマイクロスコープを利用します。
支台形成とは、詰め物・被せ物の土台となる部分を作る工程です。
この工程の精度次第で、詰め物・被せ物の形態が決まってしまいますので、非常に精度が要求される工程です。
この支台形成の工程でマイクロスコープを利用することで、肉眼で治療する場合と比較し次のような違いが生まれます。
美しい被せ物等を作製するためには、歯を削る量が少なすぎても多すぎてもいけません。
歯の中には神経がありますので、大きく削りすぎると神経を痛めてしまいます。かといって小さく削ると、どうしても出来上がる被せ物等が大きくなってしまいますので、審美性を獲得することはできません。マイクロスコープを利用すれば、肉眼と異なり、この微妙な調整がミクロン単位で可能となります。
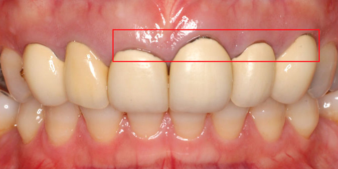
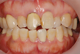
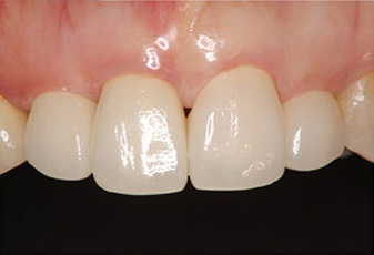
また、他院で審美セラミック治療をされた方からよく受ける相談が、「歯と歯肉との継ぎ目が黒く見えてカッコ悪いので何とかしてほしい」というものです。下記のような症例ですね。

これは型取りの際、歯肉下に隠れている歯をしっかり削り込んでいないことが原因です。
歯肉の中約0.8mm下まで削り込むことでこの問題が解消されます。
これは肉眼ではなかなか正確に調整するのは難しい部分なのですが、マイクロスコープを利用することで正確に調整可能となります。
歯を削る際、治療対象ではない隣の歯や歯肉を誤って傷つけてしまう事があります。審美セラミック治療では、たとえ1本の歯を治療する場合でも、他の歯の色・形、歯肉のバランスなど、お口全体のバランス(色・形)を考える必要がありますので、治療の際に他の歯や歯肉を傷つけてしまうと、お口全体のバランスが微妙に崩れ「口元の美」が達成されない場合があります。マイクロスコープを利用することでこのような事故は未然に防ぐことが可能になります。

審美セラミック治療は非常に繊細な技術を要しますので、ドクターと歯科技工士の腕と経験がものをいう治療となります。
患者さんにとっては単に「白い詰め物・被せ物」を入れるだけではないのと思われるかもしれませんが、それは違います。
口元の美を獲得するための条件は、「いかに天然歯と見分けがつきにくい歯が作れるか」です。白い歯を作ればいいというものではありません。その歯がお口に入った時に違和感が少なく、全体との色合い・形が調和して初めて「美」の獲得ができるのです。
「人工物」と他人に見破られてしまったら、我々の敗北です。
審美セラミック治療の成功・不成功のカギを握るのは、見えるところだけではなく、見えないところにもいかにこだわれるか。これがポイントです。
当院が実施している「美の方程式」をこれからご紹介いたします。
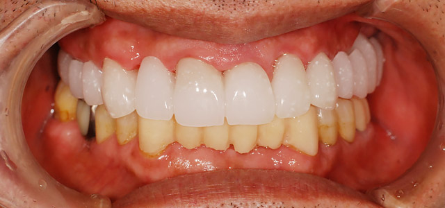
下の画像をご覧ください。
あなたが求める歯はどちらですか?


「左」の画像を選択された方。
もしこの歯をお口に入れた場合、次のような口元になります。

「右」の画像を選択された方。
この歯をお口に入れた場合、次のような口元になります。

第三者から見た場合、どちらの方が美しく見えると思いますか?
人それぞれ「感性」が異なりますので一概には言えませんが、多くの方が「右」の画像を選択すると思います。なぜでしょうか?
これは口元全体の色の「バランス」が関係しています。
もっと具体的にお伝えしますと、「いかに自然な口元であるかどうか」です。
審美セラミック治療では、「色」「形」が自由自在にコントロールできます。
雑誌を持ってきていただき「このモデルさんのような歯にしたい」とお伝えいただければその通りに色と形を再現することが出来ます。

しかし、皆さんに1つ理解していただきたいことがあります。
それは、口元の美しさは「歯」だけでは達成できないという事です。
歯は美を作り出す1つのパーツにすぎません。
その他にも、肌の色、性別、年齢、顔貌、唇、歯茎なども関係し、これら全てが合わさることで初めて「あなたらしい」自然な美しさが生まれます。
つまり、歯以外の美の要素をまずは把握し、それに調和する歯はどのような色なのか、どのような形なのかを考えていくことが重要になるのです。
そのため、真っ白な歯よりも、少し黄ばみを入れた方が自然な美しさに仕上がることもありますし、1本だけの治療の場合、他の歯との色合いや形のバランスを取った方がいいこともあります。
もちろん、最終的には患者さんの理想通りにいたします。
しかし、ここでお話しした「あなたらしい自然な美しさ(自然美)」というものが存在し、それを私たちがご提案し創造することができるということをご理解いただけたらと思っております。


皆さんはあまりご存じないかもしれませんが、詰め物・被せ物は歯科技工所という別のところで作製します。
1から100まですべて歯科医師が作るわけではありません。
つまり、いくら歯科医師の能力が高くとも、連携している歯科技工所の能力が高くなければ決してよい技工物(詰め物・被せ物)は作れないということです。
したがって、どの技工所と連携しているかで詰め物・被せ物の良し悪しが変わってきます。当院では、「トリニティピーク」という歯科技工所さんと連携し、詰め物・被せ物を作製しています。代表の歯科技工士さんに今回お話を伺ってきましたので、詳しくは対談をご参照ください。

詰め物・被せ物を1つ作るのに、たくさんの工程を踏んでいきます。
その中で、当院がこだわっている工程を1つご紹介いたします。
治療工程の中に「プロビジョナルストレーション」という工程があります。
これは精密に作製した「仮歯」をお口に装着し、審美性・機能性をチェックしていく工程です。「審美性に問題はないか」「噛み合わせは適切か」「しっかり噛むことができるのか」
「長期間機能するものであるのか」などを検証し、不具合がある場合は随時改善し、ドクター、そして患者さんが納得されるまで何度もこの工程を繰り返します。
この工程を踏むことで、患者さんに一番適した仮歯が出来上がります。
あとは、その仮歯を忠実に模写した最終の被せ物を作ることで完成となります。

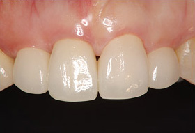
審美セラミック治療は、歯の「色」だけでなく、「形」「歯並び」の改善も可能です。
以下、当院で治療した症例をご紹介いたしますので、治療後のイメージの参考にしていただけたらと思います。
このようなご要望にはセラミック素材の「詰め物(インレー)」「被せ物(クラウン)」をお勧めします。下記の画像は銀歯の詰め物(インレー)をセラミック素材の詰め物(インレー)に差し替えた症例です。


価格は約25万円。セラミックインレーによる症例。リスクとしては、過度の衝撃で割れることがあります。
下記の画像は銀歯の被せ物(クラウン)をセラミック素材の被せ物(クラウン)に差し替えた症例です。


価格は約20万円。セラミッククラウンによる症例。リスクとしては、過度の衝撃で割れることがある。
一口にセラミックと言いましても複数の種類があります。
詳しくは料金表に記載していますのでそちらをご参照ください。
歯の隙間を改善する方法として「矯正歯科治療」をイメージされる方も多いかと思いますが、審美セラミック治療でも対応が可能です。オールセラミック法(セラミックの被せ物)を利用します。下記の画像はセラミッククラウン法(セラミックの被せ物)で「歯の白さ」と「歯の隙間」を改善した症例です。


価格は約20万円。リスクとしては、過度の衝撃で割れることがあります。
審美セラミック治療では「歯の形」も変化させることができます。
オールセラミッククラウン法(セラミックの被せ物)を利用します。
下記の画像はオールセラミッククラウン法(セラミックの被せ物)で「歯の白さ」と「歯の形」を改善させた症例です。


価格は約20万円。リスクとしては、過度の衝撃で割れることがあります。
歯の形・歯の大きさは、あなたが思っているよりもその人の個性を際立たせます。

日本人に多いタイプで、前歯の先端が直線上にある歯と、ない歯とが混在しています。自然な歯並びといえます。口を小さく見せる効果もあり、若々しい印象を与えます。

白人に多いタイプの歯並びで、前歯の先端がすべて直線上にあるので、口元をくっきりと強調することができます。

日本人の女優さんに多いタイプの歯並びです。前歯の先端はすべて直線上にありますが歯と歯に多少の重なりがあることが特徴です。出っ歯を治したい人、女性的な印象をもっと強調したいという人に向いていると言われます。

下唇のラインと前歯のラインが平行になっているのが特徴です。 世界的に好まれる並びで、ハリウッドスマイルとも呼ばれています。
このように「歯の形」「歯の大きさ」の微妙な違いによって、その人の印象を変えてしまう事があります。当院では、このようなことも考慮した上でのご提案・治療を行っております。
タバコ、コーヒー、お茶、ワイン、カレーなど飲食物には着色しやすいものがあります。審美セラミック治療でも対応可能ですが、より手軽にできるものに「ホワイトニング(薬剤を使った治療)」がありますのでそちらをご紹介します。




価格は約3万円。ホワイトニングによる症例。リスクとして、治療中に痛みが生じることがあります。
ホワイトニングに関しての詳細はホワイトニングをご参照ください。
これまで「銀歯」で対応していた部分を、白い素材で対応できるようにしたのが「ダイレクトボンディング法」です。
銀歯よりも適用範囲が狭いですが、次のようなメリットがあります。
メリット11日で終了
メリット2歯を削る量が少ない
メリット3比較的低価格
メリット4虫歯が再発しにくい
メリット5白いので目立たない
上記の他、「歯の表面についた傷の補修」「軽度なすきっ歯の改善」「欠けた歯の補修」にも適用できます。興味のある方はお問い合わせ下さい。
「審美セラミック治療とホワイトニングでは何が違うのですか?」というご質問をよく患者さんから受けます。「歯を白く綺麗にする」ことは同じなのですが、その「やり方」が異なります。
審美セラミック治療とは、詰め物・被せ物を用いて「歯の色」「歯の形」「歯並び」をより美しくするための治療です。ホワイトニングと異なり、「後戻り」することはなく、白さは永続的に持続します。しかし、詰め物・被せ物を用いた治療となりますので、「歯を削る」必要があることがホワイトニング(薬剤を利用し歯を削りません)と異なる部分です。
当院では審美セラミック治療やホワイトニング以外にも、歯肉を綺麗なピンク色に戻す「ガムピーリング」、神経が失われたことで黒くなってしまった歯を白くする「ウォーキングブリーチ」なども行っています。それぞれご紹介します。
当院では、患者さんが抱えていらっしゃるお口のお悩みや疑問・不安などにお応えする機会を設けております。どんな事でも構いませんので、私達にお話ししていただけたらと思います。
ご興味がある方は下記からお問い合わせください。
042-519-1148
昭島駅から徒歩0分
東京都昭島市昭和町2-3-16 2F
| 診療時間 | 月 | 火 | 水 | 木 | 金 | 土 | 日 | 祝 |
|---|---|---|---|---|---|---|---|---|
| 午前の部 9:30 ~ 13:00 | ● | / | ● | ● | ● | ● | / | / |
| 午後の部 14:30 ~ 18:30 | ● | / | ● | ● | ● | ▲ | / | / |
