ご存知ですが?
「成人の8割が歯周病」に罹っていることを。
世界一感染者が多い病気として、
ギネスブックにも認定されています。
042-519-1148
東京都昭島市昭和町2-3-16 2F
ご存知ですが?
「成人の8割が歯周病」に罹っていることを。
世界一感染者が多い病気として、
ギネスブックにも認定されています。
当院の歯周病治療の特徴をまとめました。気になるボタンをクリックしてください。

当院での治療ではマイクロスコープやルーペと呼ばれる歯科用顕微鏡を多用します。
これは歯周病治療でも同様です。
マイクロスコープやルーペを活用することで何倍にも拡大して見ることができるため、非常に精度の高い治療が可能となります。歯周病治療では、そもそもの原因となっている「歯垢・歯石」などをしっかりと除去する必要があります。マイクロスコープやルーペを利用することで肉眼では認識できないものまでも除去することが可能になりますので、治療後の状態が良くなることは言うまでもありません。
当院ではお口の状態により「マイクロスコープ」「ルーペ」を使い分けて治療を行います。

※歯周病治療の世界的権威、コルテリーニ先生と
歯周病が進行すると、歯肉の奥の方まで歯石が入り込みます。
その場合、歯肉を切り開く外科処置が必要になります。
しかし、外科処置自体は必要になるのですが、マイクロスコープを活用することで、歯肉を切開する範囲を最小限に抑えることができるため、治癒期間も短くなりますし、患者さんの身体的・精神的苦痛も抑えることができます。
このテクニックを学ぶため、歯周病治療で世界的に有名なコルテリーニ先生から指導を受けています。
今や歯科医療も進歩し、「歯周病を防ぐためにはどうすればいいのか」、「歯周病になってしまった場合どのような処置をすれば改善するのか」などが科学的に実証されており、その通り行えば、歯周病も防げますし、また歯周病も改善します(重度の場合はケースによります)。
具体的には、唾液検査や口腔内検査等により、歯周病の状態、歯質の状態、歯周病へのなりやすさなどのデータを取得し、PMTC(専門の機器を用いたプロによるクリーニング)やスケーリングルートプレーニング、TBI(ブラッシング指導)、生活習慣改善を併用した患者さん独自のオーダーメイドの歯周病治療プログラムを構築していきます。
細菌検査

ブラッシング指導

PMTC

スケーリング

カウンセリング

生活習慣の見直し

歯周病は重症化する前の早期発見・早期治療が重要です。症状がないからと言って放置するのではなく、年に1~2回は歯周病検査をすることをおすすめします。

「唾液を検査して何が分るの?」と思います。
実は、非常に多くの大切なことが分かります。
悪玉菌の量やバランスを知ることができます。
プラーク内の細菌の総量を知ることができます。
その他、様々な情報を分析することで、あなたの歯周病になりやすさを判定できます。
通常の歯周病治療だけでは良くならない場合があります。むしろ良くならない治療を継続することで、歯周病が進行してしまう事もあります。
そのような悪循環に陥る前に細菌検査をすることをお勧めします。
この検査を行う事で、歯周病リスクの程度を知ることができます。その結果からあなたオリジナルの歯周病治療プログラムの作成でき、更に、治療終了後の予防処置効果の検証など、あなたの歯を守るための一歩進んだ歯科治療が可能となります。
当医院ではGCさんが提供している「PCR法」使用しています。
プラークを採取するだけで痛みもなく、約1週間後に結果をお知らせできます。

骨再生療法とは、歯周病菌が原因で溶けて減ってしまった骨を再生させ、歯が抜け落ちてしまう事を防止する治療です。当院では、「エムドゲイン法」「GTR法」「リグロス法」という骨再生治療を行っております。
エムドゲイン法を簡単にご説明しますと、エムドゲインゲルという薬を患部に塗ることで、本来備わっている骨の再生能力を発揮させる療法です。
麻酔した上で、治療する部分の歯肉を切開します。
歯石などの感染部分を清掃し、取り除きます。
歯を失った部分にエムドゲインを塗布します。
切開した歯肉部分を縫合します。
この治療法では、エムドゲインゲルという薬剤を使用するため、身体への安全性について患者さんからご質問されますが、身体への悪影響はありませんのでご安心ください。
「メンブレン」という特殊な膜を活用することで歯周組織(骨、歯肉、歯根膜など)を回復させる療法を「GTR(Guided Tissue Regeneration)法」といいます。

もともと歯周組織には再生能力が備わっていますが、骨や歯根膜より先に歯肉が再生して欠損部分を覆ってしまうため、骨や歯根膜は再生することができなくなってしまいます。
しかし、メンブレンを用いることで、骨や歯根膜が再生されるスペースを歯肉に邪魔されることなく再生させることが可能となります。
個人差はありますが、おおよそ数ヵ月後には、新しい歯周組織が再生されます。
このように当院では歯周組織再生療法を積極的に実施しておりますので、他院で「歯を抜かなければなりませんね」と言われた方、重度歯周病の方、どうしても歯を残したいとお考えの方、一度当院にご相談ください。
※お口の状態に合わせて「再植」「移植」なども行う事があります。
※保険が適用される「リグロス」という薬剤もあります。
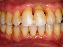
歯周病治療をすると「歯が長くなってしまう」ということを聞いたことがあると思います。
実際、歯が長くなったように見えるのですが、これは「本来の健康な状態に戻った」と言った方が正確です。

歯周病が進行すると歯を支える骨がドンドン溶かされると共に、炎症を起こして歯肉が腫れあがります。
歯を支える骨が溶かされれば当然歯茎もドンドン退縮し、歯の根が露出してきて歯が長く見えてしまうのですが、炎症により歯肉が腫れあがりますので、外からは歯が長くなった状態を確認することができません。
しかし、歯周病が改善することで歯肉の炎症が治まり、本来の歯の姿が見えてくる事になります。

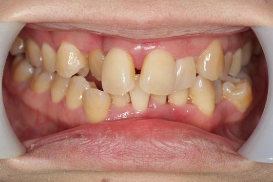
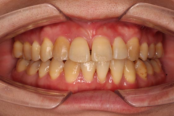
「お口の健康は取り戻せたけど、見た目はなんとかならないの?」
治療を終えたから方よくこのような質問を受けます。
当院では「歯肉移植術(FGG/CTG)」という方法で、この「見た目」改善に取り組んでいます。簡単に説明しますと、上顎の歯茎から歯肉を取ってきて、見た目が悪い部分に移植するという方法です。

上顎の奥歯の内側から移植する歯肉を採取します。

移植する箇所の歯茎を切開し、その中に採取した歯肉を入れます。

歯肉を採取するために切開した歯茎は2週間程度で回復し、移植された歯茎はおよそ1ヵ月程度で傷跡が目立ちにくくなり、周囲の歯茎と区別がつきにくい自然な状態になります。
歯肉移植術は技術を要しますのでどの医院でも行っている訳ではありません。
「お口の健康」と「美」を追求したい方、是非当院にご相談にいらしてください。
その他、白い被せ物などを利用し、歯肉だけでなく、歯を含めたお口全体を総合的に美しくする治療も行っています。




上記のケースは歯周病と矯正治療を組合わせた治療となります。
噛み合わせが悪いと、磨き残しが多くなる可能性があり、せっかく歯周病治療をしたとしても再発や重症化するリスクが高まるため、矯正治療を併用しました。
当院では、歯周病治療だけ、矯正治療だけ、などの単発的な治療だけではなく、患者さんの健康、審美性を考え、総合的な治療も得意としています。

当院では歯科医師、そして歯科衛生士が担当制をとることにより、患者さんのすべてのデータを生涯にわたり保存管理しております。
蓄積したデータや患者さんとの長いお付き合いの中で得た情報や変化をもとに、その患者さんに適した質の高いご提案・治療をすることが可能となります。
歯磨きチェック(指導)をはじめとして、歯周病の再発を防ぐ処置、生活習慣に対するアドバイスやドライマウス、アンチエイジングなど……。
また患者さんの情報は全てのスタッフが共有していますが、患者さんからのご希望があれば毎回同じ担当者が治療に当たりますので、お互いにリラックスした状態で診療ができ、コミュニケーションを楽しみながらお口の健康維持につなげることができます。
当院では幅広い知識と経験を持った歯科医師と歯科衛生士が密接に連携することで、さらなる治療効果を実現しています。
歯科衛生士とは、単なる歯科医師のアシスタントではなく、文部科学省や厚生労働省から指定された専門学校を卒業し、国家資格を持つ専門職です。つまり、歯周病から歯を守るための治療を行うことができるスペシャリストです。担当させていただく歯科衛生士はスタッフ紹介をご参照ください。

歯周病でない方でも、歯周病治療された方でも、長期にわたって健康なお口の状態を維持させるには、ご自宅でのケアだけでは十分ではありません。その理由をこれからお伝えいたします。
歯周病になってしまう主な原因はお口の中で悪さをする細菌です。
つまり、この「菌」を上手にコントロールできればお口の問題は起きません。
右の画像がお口の中の細菌の状態です。これをいかに減らし、減った状態を継続させられるかがポイントとなります。
つまり、悪さをする細菌が可能な限り少ない状態を保持する「コントロール」が大切になります。細菌をコントロールするためには、ご自宅でのブラッシング以外にも「歯科医院での定期メンテナンス」の両輪が必要になります。
細菌の検査は「PCR法」を用いて行います。
人間の噛み合わせは、皆さんが思っている以上に変化します。
年齢によるものもありますし、座っている姿勢が悪いだけでもズレしまうこともあります。
噛み合わせが悪くなってくると、歯全体で「噛む」力を分散させることが出来ず、特定の歯に過剰な咬む力が加わることになります。そうすると、その歯が「動揺」することで、隙間ができ、そこに歯周病菌が入り込める環境が作られます。
生じた隙間の部分は、何もしなければ改善しませんし、その隙間に入り込んだ歯周病菌も日常のブラッシングだけでは除去することはできません。つまり、歯周病菌が悪さをする環境が整ってしまう事になるのです。
当院の定期メンテナンスでは、噛み合わせをしっかりと確認し、ズレてしまった場合は適切な調整を施し、歯周病菌が悪さをする環境ができない取り組みを行います。
その他、噛み締めや歯ぎしりなどの癖や、舌や頬粘膜のコントロールも行います。
当院では、患者さんが抱えていらっしゃるお口のお悩みや疑問・不安などにお応えする機会を設けております。どんな事でも構いませんので、私達にお話ししていただけたらと思います。
ご興味がある方は下記からお問い合わせください。
042-519-1148
昭島駅から徒歩0分
東京都昭島市昭和町2-3-16 2F
| 診療時間 | 月 | 火 | 水 | 木 | 金 | 土 | 日 | 祝 |
|---|---|---|---|---|---|---|---|---|
| 午前の部 9:30 ~ 13:00 | ● | / | ● | ● | ● | ● | / | / |
| 午後の部 14:30 ~ 18:30 | ● | / | ● | ● | ● | ▲ | / | / |
