経験と勘ではなく、
マイクロスコープを利用し、
しっかり「目で確認」して
治療する精密根管治療。
もちろんラバーダム防湿も行っております。
042-519-1148
東京都昭島市昭和町2-3-16 2F
経験と勘ではなく、
マイクロスコープを利用し、
しっかり「目で確認」して
治療する精密根管治療。
もちろんラバーダム防湿も行っております。

すみたけ歯科では、歯科用顕微鏡を利用した「歯の神経の治療」を実施しております。
虫歯が進行すると、歯の神経(歯髄)まで達します。
こうなってしまうと虫歯菌が感染した神経を取り除き、根管(神経が入っている管)を綺麗に清掃してから被せ物をする治療を行います。
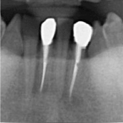
一見簡単な処置のように思えますが、「根管を綺麗に清掃する作業」は非常に困難を極めます。なぜなら、根管は非常に複雑に入り組んでおり、しっかりと清掃を行わなければ、「痛み」「腫れ」などの原因となり、「根尖病巣」という病気にもなるためです。下の画像ですが、「黒い部分」が神経の入っている管であり、この部分をしっかりと綺麗に清掃する必要があります。

従来までは、「肉眼」でこの治療をしていました。
少し考えればわかると思いますが、「肉眼」ではこの細かい部分をすべて確認しながらしっかり作業することは不可能です。つまり、従来法の歯の神経の治療とは「勘」や「経験」に頼った治療で、時には再治療そして「抜歯」の選択を迫られることも多々ありました。
しかし、マイクロスコープ(歯科用顕微鏡)を利用することで、今まで見えなかったものが見えるようになり、しっかり目で確認しながらの治療が可能となりました。
マイクロスコープ(歯科用顕微鏡)を含め、当院で実施している歯の神経の治療の特徴をご紹介いたします。
マイクロスコープ(歯科用顕微鏡)とは、その名の通り、治療部位を拡大する機器です。
歯の神経の治療においては、どれだけしっかり問題部位を確認できるかが成功の成否を分けますので、成功率を上げるためには欠かすことができない機材になります。

下の画像が「肉眼」で見た状態と、「マイクロスコープ」で見た状態の視野になります。
どちらの方が精度の高い治療ができるかは一目瞭然ですね。
当院でマイクロスコープを導入することにより、「抜歯」という最悪のシナリオを避けられる可能性が飛躍的に高まりました。


当院で処置した症例をご紹介します。
他院で抜歯と言われてしまった歯でも抜歯せずに対処した症例も多数あります。
黒い影が出ている部分が問題の個所で(根尖病巣)、治療後はこの影がなくなっているのが見て取れると思います。






保険適用。根尖病巣を治療した症例。リスクとして、稀ではありますが再発することがあります。
ラバーダム防湿は、歯の神経の治療を成功させるためには必須のものです。

ラバーダム防湿とは、治療する歯以外を薄いゴム製シートで覆いかぶせて口腔内の唾液や細菌の治療部位への流入を防ぎ、感染を防止する道具です。
ラバーダムを使用することで、様々な口腔内細菌が根管に侵入するのを防ぎ、無菌的な処置を行うことが可能になります。逆を言えば、ラバーダム防湿を行わないで行う根管治療は細菌感染の可能性が高まり、再治療の原因ともなります。
その他、ラバーダムには治療で使用する薬液が口腔内に漏れるのを防ぐ役割もあります。
歯の神経の治療でラバーダム防湿を行うことは欧米では必須の処置となります。当院で「自費」で行う治療はラバーダム防湿をしっかり実施しておりますので安心していただけたらと思います。

歯の神経の治療では、虫歯に侵された神経を除去するために「ファイル」と呼ばれる器具を使用します。
このファイルは大きく分けて二種類あり、ひとつが「ステンレスファイル」、もうひとつが「ニッケルチタンファイル(NiTiファイル)」というものです。
多くの歯科医院ではステンレスファイルのみを使用していますが、当院では十分な柔軟性を持ち、曲がった根でもしっかり除去できるニッケルチタンファイルも同時に導入しています。これにより、患者さんの歯を残すための精密な治療が可能となるのです。
歯の神経の治療では、上記でご紹介したファイルと呼ばれる、ステンレス製のヤスリのような器具で、根管内の汚れを削っていきます。
ヤスリでものを削ると細かな削りカスが出るのと同様に、歯の神経の治療でもファイルで歯質を削る際にカスが出ます。このカスにはたくさんの菌が存在していますので除去しなければならないのですが、手用の器具では完全には除去できませんので、ほとんどの歯科医院では除去せずに、空けた穴に蓋をして治療を終えてしまいます。
1度治療して完治したと思っていた箇所が、再度治療を行わなくてはならないのはこのためです。

この問題を解決するのが「次亜塩素酸ナトリウム」や「EDTA」という薬剤です。
専門的な話になりますので詳細は割愛させていただきますが、簡単にご説明をしますと、これらの薬剤は、ファイルで生じた削りカス・細菌・毒素などの有害物質を溶かし、消毒することで根管内をクリーンな状態にし、病気の再発を防ぐものです。
当院では、これらの薬剤を用いて歯の神経の治療を行っております。
歯の神経の治療は歯科治療の基礎となるものです。
この治療のでき次第で、歯の寿命や必要になる被せ物・修復物などが変わってきます。
しかし、保険制度の問題や各歯科医師の治療に対する意識の低さにより、この基礎治療をしっかりと行っている医院さんは少なく感じられます。
私は、たとえどのような問題があろうとも、「1本1本の歯を守る」という意思で治療に臨んでいます。しかし、ケースによっては、部分的除去(歯根端切除術、ヘミセクション)などあらゆる手段をためしてみても、「抜歯」せざるを得ないこともあります。
最終的には現状をご説明し、治療を続けるか、抜歯をするのかの選択は患者さんにご選択いただきますが、私としては、「抜歯」は最後の手段と考えています。

どうして1本の歯にそこまでこだわるのか……。
それは1本の歯の大切さを誰よりも深く強く理解しているためです。
歯の神経の治療が必要な方、他院でなかなか治療が終了しない方、治療したが痛みが取れない方、一度当院にご相談ください。
貴方の歯を守るためのご提案をいたします。
当院では、患者さんが抱えていらっしゃるお口のお悩みや疑問・不安などにお応えする機会を設けております。どんな事でも構いませんので、私達にお話ししていただけたらと思います。
ご興味がある方は下記からお問い合わせください。
042-519-1148
昭島駅から徒歩0分
東京都昭島市昭和町2-3-16 2F
| 診療時間 | 月 | 火 | 水 | 木 | 金 | 土 | 日 | 祝 |
|---|---|---|---|---|---|---|---|---|
| 午前の部 9:30 ~ 13:00 | ● | / | ● | ● | ● | ● | / | / |
| 午後の部 14:30 ~ 18:30 | ● | / | ● | ● | ● | ▲ | / | / |
