歯科医院との「新しい付き合い方」を
皆さんにご提案しています。
042-519-1148
東京都昭島市昭和町2-3-16 2F
歯科医院との「新しい付き合い方」を
皆さんにご提案しています。
予防処置における当院の考え方、そして具体的に体制をご紹介します。

治療を終え、お口の中が健康になり、「治療」ではなく、お口の健康維持のための「メンテナンス」に通っていただく。そして、世間話をしながら笑顔で帰っていただく。
これが私たちの目指す歯科医院です。つまり、治療終了がゴールではなく、「スタートライン」と考えています。
まずは、「なぜ治療が必要な状態になってしまったのか」を考え、原因を追究・排除する必要があります。それを行わなければやがて再発してしまいます。また、再発を防ぐためには「健康な状態を維持し続ける」という歯科医院側の想いのこもったサポート、そして何よりも患者さんご自身がお口の健康を意識していただくことが重要です。当然のことですが、歯科医院でのケアよりもご自宅でのケアの方が、多くの時間を占めますので。
これまで長年、歯科医療に携わってきましたが、お口の健康を長く維持されている患者さんというのは、歯に対する意識、つまり、歯は生活をする上で非常に重要であると強く認識している方です。歯に対する意識が高ければ、自ずとご自宅でのケアをしっかり行っています。そして皆さん、「歯科医院は健康なお口の状態をチェックする場所。普段のブラッシングでは落とせない汚れを定期的に落としに行く場所」と考えていらっしゃいます。
歯科医院とは、「歯を治す」とことですが、一旦治療が終了したら、「歯を守る場所」になるという考え方が大切です。そのように理解し行動していただけたら患者さんのお口の健康は安泰です。
私たちは「歯科医院は歯を守る場所」とご理解いただける患者さんと共に歩みたいと思っています。そしてそのような患者さんには「お口の健康を維持させる」「残っている健康な歯を守っていく」という強い想いで末永くお付き合いさせていただきます。
お口の健康を通して、皆さんが毎日笑顔で生活できるお手伝いをすること。
これが私たち歯科医療従事者の「使命」であり「やりがい」です。

歯科医院には、歯科医師以外にも「歯科衛生士」という国家資格を持った人間が在籍しています。歯科衛生士とは、「予防」「歯周病治療」のプロです。
当院では、患者さんのご希望があれば一人に一人の担当歯科衛生士がつき、責任を持って処置・管理を行います。
歯のメンテナンスは他の治療よりも「計画的な管理」「患者さんのライフスタイルへの精通」「信頼関係」を必要とします。これを達成させる為には、衛生士の技能、人間性、そして患者様情報の一元管理が大切となります。当院では優秀な衛生士を揃えております!!
当院では科学的根拠に基いた予防処置を行っています。
今や歯科医療も進歩し、「歯周病・虫歯を防ぐためにはどうすればいいのか」、「歯周病・虫歯になってしまった場合どのような処置をすれば改善するのか」などが科学的に実証されており、その通り行えば、歯周病・虫歯にもなりませんし、また歯周病・虫歯も改善します。
具体的には、唾液検査(お口の状態による)や口腔内検査等により、歯質の状態、歯周病・虫歯へのなりやすさなどのデータを取得し、PMTC(専門の機器を用いたプロによるクリーニング)やTBI(ブラッシング指導)、生活習慣改善を併用した患者さん独自のオーダーメイドのプログラムを構築していきます。
細菌検査

ブラッシング指導

PMTC

フッ素塗布

カウンセリング

生活習慣の見直し


「唾液を検査して何が分るの?」と思います。
実は、非常に多くの大切なことが分かります。
ミュータンス菌や歯周病菌の量が把握できます。
お口の中が酸性になった時に歯が溶け始めます。
その状態から中性に戻す力のことを唾液緩衝能といいます。食事をとることでお口の中は酸性に傾きます。これを中性に戻す力が唾液にはあります。この力が強ければ強い程、虫歯になりにくくなります。
虫歯や歯周病の原因となる細菌の塊を歯垢(プラーク)と呼びます。
その他様々な情報を分析することで、あなたの虫歯・歯周病になりやすさを判定できます。
唾液にはあなたが驚くくらい様々な効用があります。唾液の検査を行なうことで、口腔内細菌の検出だけでなく、患者さん固有の情報が得られることにより、虫歯リスクの程度を知ることができます。その結果からあなたオリジナルの予防プログラムの作成、予防処置効果の検証など、あなたの歯を守るための一歩進んだ歯科治療が可能となります。
当医院ではGCさんが提供しているPCR法を使用しています。
唾液を採取するだけで痛みもなく、約1週間後に結果をお知らせできます。

歯の予防に大切な歯垢や歯石の除去。
これの取り残しがあると、虫歯・歯周病リスクが高まります。それを防ぐため、ケースにもよりますが、マイクロスコープを活用した処置も行っています。
マイクロスコープとは視野を何倍にも拡大できますので、肉眼の何倍も精度の高い治療が可能になります。
マイクロスコープを利用したメンテナンスを行っている歯科医院は、全国でもごくごく少数となります。
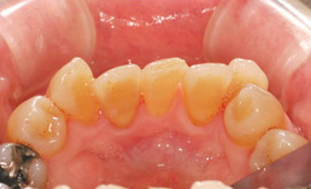
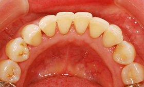
歯科医院での予防処置では主に歯石・歯垢を除去するのですが、この処置をすることで「本来の歯の白さに近づける!」という患者様に嬉しい副次的効果があります。
これは歯石などを除去するとともに、ヤニ汚れ、茶渋などの着色も一緒に除去できるためです。






保険治療。クリーニングで歯の汚れを除去した症例。リスクは、特にありません。
つまり、定期的(2~3カ月に1回)にクリーニングに通う事で、虫歯・歯周病予防にもなりますし、歯の白さを維持でき一石二鳥という事です。
当院では歯を白くする方法として「審美セラミック治療」「ホワイトニング」も行っています。これらは「本来の歯の白さよりももっと白くする」治療法ですので、歯の白さを追求されている方はそちらをご覧ください。
お出かけ前の美容院と同じで、歯を綺麗にしてお出かけというのも気持ちが良いのではないでしょうか?
当院の目指す歯科治療は「10年後も20年後も健康でいられるお口を創造する」ことです。
方法は様々ありますが、特に当院が重要視していることは、「過去・現在」どのような治療をしてきたのか、そしてどのような生活習慣が原因で治療することになってしまったのかをしっかり探り分析することです。
そして、「過去・現在」の状況を理解し、「未来」の理想の状態から逆算して現在の治療を行うことが大切です。
私たちは「歯のプロ」です。
過去と現在の状況が分かれば、今後、お口の状態がどのようになっていくかを見通すことができます。例えば、「このままいけば、次はこの歯がダメになってしまう」「この歯はあと○年で問題が出てくるだろう」などですね。

お口の中は非常に繊細なバランスの上で成り立っていますので、ある部分が悪くなってしまった原因はその歯だけにあるのではなく、その他の歯が原因だったり、噛み合わせの不調和で悪くなってしまう事もあります。
そのため、当院では問題のある歯だけを診ることはしません。お口全体を包括的に診断し全体的にバランスのとれた治療を行います。
「木を見て森を見ない」治療ではなく、「木も見て森も見る」治療ですね。
このようなスタイルの診療を当院では行っているため、時には患者さんが求めている治療以上のことをご提案することもあります。これは「10年後も20年後も健康でいられるお口を創造する」ためにはいずれ必要となる治療であるとご理解ください。
当院では、患者さんが抱えていらっしゃるお口のお悩みや疑問・不安などにお応えする機会を設けております。どんな事でも構いませんので、私達にお話ししていただけたらと思います。
ご興味がある方は下記からお問い合わせください。
042-519-1148
昭島駅から徒歩0分
東京都昭島市昭和町2-3-16 2F
| 診療時間 | 月 | 火 | 水 | 木 | 金 | 土 | 日 | 祝 |
|---|---|---|---|---|---|---|---|---|
| 午前の部 9:30 ~ 13:00 | ● | / | ● | ● | ● | ● | / | / |
| 午後の部 14:30 ~ 18:30 | ● | / | ● | ● | ● | ▲ | / | / |
