歯を白くする方法は歯が
変色した原因により様々です。
当院では複数の
ホワイトニングメニューをご用意し、
あなたの理想とする歯の白さを
プロデュースいたします。
042-519-1148
東京都昭島市昭和町2-3-16 2F
歯を白くする方法は歯が
変色した原因により様々です。
当院では複数の
ホワイトニングメニューをご用意し、
あなたの理想とする歯の白さを
プロデュースいたします。
当院では歯を白くするホワイトニング以外にも、歯肉を綺麗なピンク色に戻す「ガムピーリング」、神経が失われたことで黒くなってしまった歯を白くする「ウォーキングブリーチ」、歯の白さだけでなく形も整えたい方のための「セラミック治療」なども行っています。
それぞれご紹介いたします。
1回ごとの効果は医院でのホワイトニング(オフィスホワイトニング)の方が高いですが、自宅でのホワイトニング(ホームホワイトニング)は何度か継続して繰り返すため、最終的にはオフィスホワイトニングよりも白くなります。また、ホームホワイトニングはは全体をカバーできるのも特徴です。
歯科医院でホワイトニング用のマウスピースを作製し、それにホワイトニング剤を入れ、ご自宅で行うホワイトニングです。
診療、歯の色を確認
専用マウスピース(薬品を入れるための装着具)を製作

歯のクリーニング
自宅での使用方法の説明

自宅にて、マウスピースを用いてホワイトニング
オフィスホワイトニングは白くなるまでに時間がかかりますが、最終的にはホームホワイトニングの方が白くなります。



当医院では「オパールエッセンス」というホームホワイトニングをご紹介しております。
様々なホワイトニングシステムがメーカーから出されていますが、世界のドクターから認められている信頼のおけるホワイトニングシステムです。
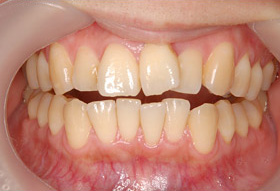
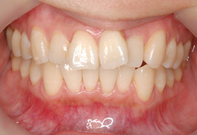
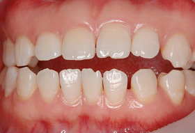
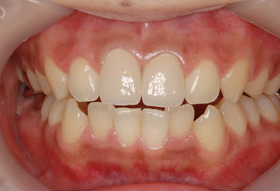
当院で実施したホワイトニング症例をご紹介します。








価格は約2万円。ホワイトニングによる症例。リスクとして、治療中に痛みが生じることがあります。
1.当院にて歯石の除去等を行ない、お口の中をキレイに清掃します。
ホワイトニングは、虫歯や歯周病のない状態で行う治療です。
大きな虫歯があった場合は、ホワイトニングの薬液によって、痛みが誘発されて治療できません。歯周病があった場合は、歯茎からの出血により、血液が混じって薬液の効果が出ません。そのため1回目は口腔内診査(歯石除去&PMTC)及びカウンセリングや食事制限の説明をいたします。これにより本来の歯の色に戻ります。

2.歯型を採り、患者さんの歯並びに合ったマウスピースを作ります。

3.そのマウスピースを一度合わせてみて、薬剤の使い方や1日の使用時間などの説明を受けて帰宅します。

4.変色の程度にもよりますが、1日2時間以内で、約2週間続けます。

光に反応するホワイトニング剤を歯に塗り、歯科医院にて施術を行います。

治療前の歯の色をチェック

歯のクリーニング、歯垢、歯石、着色の除去

白くしたい歯に薬剤を塗り光を当てる
ホームホワイトニングと比べ、白さの度合いが高く、かつ短期間で理想の白さが手に入りますが、白さの持続期間は短いのが特徴です。しかし、数回実施することで後戻りしにくくなっていきます。


当院では、株式会社GCの「TiON(ティオン)ホワイトニングシステム」を採用しています。
TiONには次のような特徴があります。
TiONのホームホワイトニング材はジェル状なので、マウストレーに注入する際流れにくく、また、温度・湿度の高い口腔内でも流れにくいので快適に扱えます。
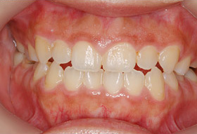
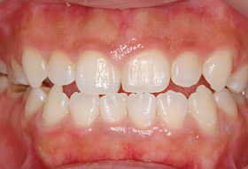
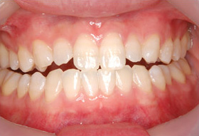
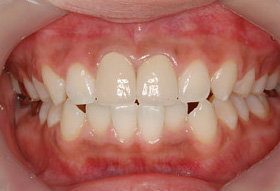
当院で実施したホワイトニング症例をご紹介します。








価格は3万円~。ホワイトニングによる症例。リスクとして、治療中に痛みが生じることがあります。
1.当医院にて歯石の除去等を行ない、お口の中をキレイに清掃します。

2.歯を白くする薬剤を塗り、特殊な光を照射し、薬剤を除去します。
この流れを2~3回繰り返します。



3.歯の色を確認(シェードチェック)して終了です。

デュアルホワイトニングはジャンプスタートホワイトニングとも言われます。
最初にオフィスホワイトニングである程度白くした後に、ホームホワイトニングで白さを強化していきます。そうすることで、白さの後戻りを防ぐこともできます。




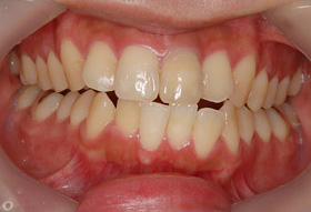
価格は約1万円。リスクは特にありません。
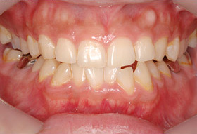
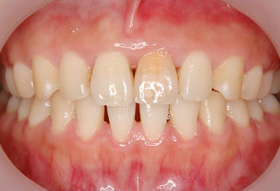
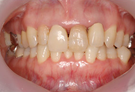
上記の症例は、歯の中にある神経が死んでしまったことで生じる変色です。
これは通常のホワイトニングでは改善することが出来ません。
マイクロスコープ(歯科用顕微鏡)で歯の神経(歯髄)を除去した後、歯の中に歯を白くする薬剤を入れ、変色した歯を内側から白くさせます(ウォーキングブリーチ法)。これにより白い歯を取り戻すことができます。


1回1部位5,000円。ガムピーリングによる症例。
リスクとして治療中に痛みが生じることがあります。また、1~3回程度必要なこともあります。
喫煙される方の多くは歯茎が黒ずんでいますが(タバコ以外にも紅茶・コーヒーでも黒ずみは生じます)、これはメラニンによるものです。
メラニンは刺激から身体を守ってくれる色素であり、喫煙者の歯茎が黒いのは、タバコの煙に含まれる刺激から守るためにメラニンがたくさん生産されることに原因があります。
また、歯茎が黒ずむ原因は喫煙だけではなく、被せ物に使用される金属が溶け出し歯肉に沈着してしまう事でも引き起こされます。
上記のようなことが原因で黒ずんでしまった歯茎の色は、特殊な薬剤を利用することで改善し、元の綺麗なピンク色まで近づけることが出来ます。歯茎が黒いことで笑った時の印象が暗くなってしまう事もあります。
ピンク色の綺麗な歯茎で素敵な笑顔になってください!!


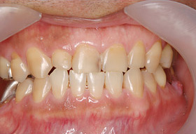
価格は約20万円。セラミッククラウンによる症例。リスクとしては、過度の衝撃で割れることがあります。
よく患者さんから「ホワイトニング」と「審美セラミック治療」の違いについて質問されます。
「歯を白くする」という目的は同じですが、その「やり方」と「白さの効果」「他の効果」が異なります。詳細は白い詰め物・被せ物をご参照ください。

| 治療方法 | 薬剤を反応させて歯を白くします。 |
|---|---|
| 効果 | 時間が経過すると後戻りします。 稀に知覚過敏の症状が出ることがありますが、直ぐに治まります。 |
| 他の効果 | 特になし |

| 治療方法 | セラミックの詰め物・被せ物を利用します。ホワイトニングと異なり、歯を削る必要があります。 |
|---|---|
| 効果 | 白さは永続的に持続します。 |
| 他の効果 | 歯の形、歯並びも同時に改善できます。 |
個人差はありますが、1回で4段階ほど白くなるといわれています。

大きな虫歯があったり、歯茎が腫れていますと、ホワイトニング治療は出来ません。
大きな虫歯がある場合は治療中の痛みの原因になります。歯茎が腫れている場合は薬液に血液が混じり、十分な効果が出ません。このような症状が見受けられる場合は、改善処置を行ってからのホワイトニングとなります。
下記のような様々な原因があります。
①日常の飲食による黄ばみ(多い)
コーヒー、紅茶、カレー、しょうゆ、赤ワイン、ケチャップなど色素の濃いものを長年摂取することで、次第に黄ばんできます。
②加齢による黄ばみ
年齢とともにエナメル質が薄くなり透過性が高くなります。そうするとエナメル質の下にある象牙質の色が目立ってきますし、象牙質自体も加齢とともに色が濃くなっていきます。象牙質はもともと「黄色」に近い色をしているので、歯が黄色く見えてしまうことになります。
③全身疾患に由来する変色
胎児の時に、母親が服用した抗生物質(テトラサイクリンが有名)や過剰に摂取したフッ素などの影響。
④遺伝による黄ばみ
髪の毛や肌の色が人それぞれ異なるように、遺伝的に黄色っぽい歯の方がいます。
当院では、患者さんが抱えていらっしゃるお口のお悩みや疑問・不安などにお応えする機会を設けております。どんな事でも構いませんので、私達にお話ししていただけたらと思います。
ご興味がある方は下記からお問い合わせください。
042-519-1148
昭島駅から徒歩0分
東京都昭島市昭和町2-3-16 2F
| 診療時間 | 月 | 火 | 水 | 木 | 金 | 土 | 日 | 祝 |
|---|---|---|---|---|---|---|---|---|
| 午前の部 9:30 ~ 13:00 | ● | / | ● | ● | ● | ● | / | / |
| 午後の部 14:30 ~ 18:30 | ● | / | ● | ● | ● | ▲ | / | / |
